What Most Doctors Don't Teach You About X-Rays
Patient Education is Critical
We are going to teach you about some really interesting things on x-rays that most doctors don't take the time to teach. In our office, we highly value education. We are lifelong learners ourselves and we take great pride in our patient education. One of the unique things that we do in our office is teach you more about your body. Being able to understand what your spine and your nerve system is doing is crucial to understanding and improving your health.
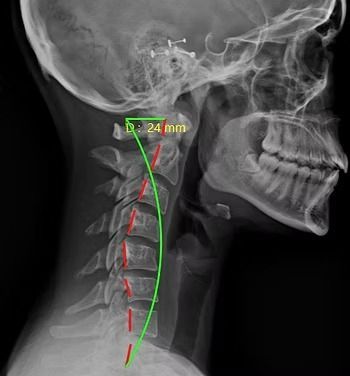
Curvature of the Cervical Spine and Forward Head Posture
Starting off, we're going to be looking at the side of the neck. With every patient, the first thing we're looking at is the curvature. We're looking at this green curvature line and that's where we ideally want to see the bones of the spine aligned. When we're looking at the red line here next to the green one, that's actually the patient’s alignment right now. You can see that it's straightened out and we don't have as much of that natural curvature that we're looking for in the cervical spine. The second thing we analyze is the amount of space in between the bones or vertebrae. Near the top of the cervical spine, you can see how the spaces are thicker and then when you get down to the lower cervical vertebrae, they're thinner. What is happening here is the disc space is decreasing and that's important to notice because it is the first sign of degeneration in the spine.

Cervical X-Ray patient standing normally, looking straight ahead

Cervical X-Ray patient standing normally, looking straight ahead
With the next patient, you can see a bigger gap between the red and green line. His head is way more forward and the cervical or neck curve is much more straightened out. The significance with that is the more your head is forward, the more force and pressure it's going to not only put on your neck but the rest of your spine as well. Imagine a rubber band that is stretched and stretched and becomes more tight. The other part with posture too is that the further forward the head goes, it actually decreases your ability to breathe and limits a lot of other functions in the body.
Check Your Own Forward Head Posture
To check your own forward head posture, try this, stand with your butt up against a wall, press your shoulder blades into the wall, now, feel how far the back of your head is from hitting the wall, that’s how far forward your head posture is and it is most likely even worse in other positions! Posture is just one part, it is always important to see what is actually happening in the spine with motion x-rays.
Pelvis Alignment
Here's an example of a younger person and an image of their low back and pelvis. This person has some aches and pains that have been bothersome for a couple of months. Here you can see the measurements between key points in the body. What we're looking for is an equal balance in the pelvis on both sides when we draw the top line straight across. Here you can see the right side is about 12 mm lower than the left. When we look at the middle horizontal line, the same thing is true with the femur heads, where the legs connect. We also draw a line vertically from the tailbone up along the spine to indicate the midline of the body. You can see there's a right tilt there with all of the vertebrae to the right of that midline. All of these things are important and oftentimes doctors don’t spend the time to go through this with you and explain how all of these pieces fit into the larger puzzle.

X-Ray of Pelvis Alignment

Cervical X-Ray Prior to Chiropractic Care: Patient standing normally, looking up as high as they are able

Cervical X-Ray After Initial Care Plan Completed: Patient standing normally, looking up as high as they are able
Motion X-Rays: Looking Up & Range of Motion
This is a view of a person's neck from the side and they're looking up. When this patient first started care, they could only look up at about 16 degrees. After completing an initial care plan, they are now able to look up at about 35 degrees, which is close to normal. At the end of the day, this person wasn't able to look up and the quality of life of that person was greatly diminished, in addition to the function of the body. The range of motion in the neck in this person was greatly increased. This can lead to fewer headaches, less tension, and more mobility in the cervical spine. A person who sees improvement in this area would have fewer blind spots while driving and better overall posture.
My Posture is Great, Do I Still Need to See a Chiropractor?
This is a perfect example because we often hear people say, "Oh, I don't need to see a chiropractor. Nothing really hurts and my posture is really great." Well, this is a young person who actually has really good posture. As we’ve mentioned, green is “normal" for the curvature in the neck. This person has the opposite or a reverse curve in the neck. This is not just how the person is standing, the spine which is supposed to follow the green line is actually curving in the opposite direction.
Posture is important, but posture is not the only important thing. It is critical to analyze x-rays to see what your spine and your nerves are actually doing and learning how these limitations or interferences impact function.
Empowering Patients Through Chiropractic Care
Our goal in our office is to teach you more about your body. This empowers you to understand and improve your health. You'll notice that we are showing before and after images for patients. We take motion x-rays at the start of care and again after patients have completed an initial care plan. These important analysis and teaching tools allow us to look at your spine in an objective manner, literally in black and white.

Cervical X-Ray Prior to Chiropractic Care: patient standing normally, looking straight ahead

Cervical X-Ray After Initial Care Plan Completed: patient standing normally, looking straight ahead
What Makes Our Sheboygan Chiropractic Office Unique?
We go through a detailed history and a detailed Chiropractic examination. We also do a lot of functional neurology here where we're going to test a lot of your reflexes to see how your brain, your nerve system, and your balance are working together. These pieces are critical because the health of your spine plays a huge role in the function of your brain and body.
The other unique thing that we do is take these x-rays and these x-rays are motion x-rays where we actually have you bending forward and backwards for the neck or for the lower back, moving side-to-side because it shows a lot more of the details of how your body is working.
Take the Next Steps to Learn More About Your Health
When you come into the office, we're going to explain a lot more of this in greater detail. Your body is made to heal and when your spine is misaligned in different positions, the electrical signals aren't allowed to do what they should. When you’re ready to learn about your body and how Chiropractic can help to maximize your function, set up a new patient appointment and we will teach you all about your spine, nervous system, and how it all correlates to optimal function.










